Products
Fixum Archipresbyter Transpalatal (TPA)
  • Fixum Archipresbyter Transpalatal (TPA)Fixum Archipresbyter Transpalatal (TPA)
  • Fixum Archipresbyter Transpalatal (TPA)Fixum Archipresbyter Transpalatal (TPA)

Fixum Archipresbyter Transpalatal (TPA)

Quae sequuntur de Archo Transpalatali Fixo (TPA) pertinentia, spero adiuvare ut melius intelligatur Arcus Transpalatalis Fixus (TPA).

Fixum Arch Transpalatal (TPA) Outsourcing Lab cum Lab ad Lab Service vocatum wmdentallab


Habemus proprium productum venditiones virgam, stilum cantavit, coetus technicis, QC baculum et involucrum baculum. Nunc habemus stricte altam qualitatem administrationis procedendi ad unumquemque accessum. Etiam omnes nostri opifices in re typographica experiuntur ad Supple OEM Sinis fixum archipresbyter Transpalatal (TPA), emptores novos et senes ab omnibus ambulationibus vivendi suscipimus, ut nos ad praevisibiles res futuras consociationes vocamus et mutuos eventus consequamur!
Supple OEM Sinarum Arcus Transpalatalis fixa (TPA), Nostra domestica website supra 50, 000 ordines emendi quotannis ac satis prospere ad mercaturam interretialem in Iaponia generavit. Nos laeti volumus occasionem negotii cum societate tua agendi habere. Exspecto accepto tuo!

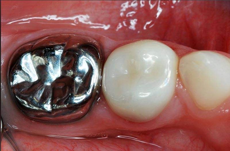
Praeclarum est instrumentum ad conservationem ac- quisitionem. Designari potest cum vecte transpalatali solido vel cum ansa omega permittens ad commensurationem et rotationem molarem producens. Hoc instrumentum etiam fabricari potest in versione amovibili.


Arcus transpalatalis arcus latitudinem inter primos molares conservare solebat et molares rotatos rotatos. Filum primo molares solidatur et lateraliter per palatum decurrit quo minus lingualis egisset. Ansa commensuratio in media filum sita est et ut opus ad primos molares de-rotandos excitatur.


Hot Tags: Fixum Arch Transpalatal (TPA) in Sinis labrum dentalem promens, opificem, lab ad lab servitutis, coronas dentales, coronam Zirconia, PFM coronam, dentalem inserit centrum dentale
Mitte Inquisitionem
Contactus info
Percontationes de Sinis Lab dentalis, Lab dentalis Digitalis, Corona et Ponte officia largientes, rogamus te nobis electronicam relinquere et intra 24 horas continuari erimus.
X
Crusulis utimur ut meliorem experientiam pasco tibi praebeamus, situm negotiationis et personalize contentus analyse. Hoc situ utendo, ad nostrum crustulorum usum consentis. Privacy Policy
Reject Accipe